TAVI Products

TAVI Wires INNOWI®

and INNOWI SX®

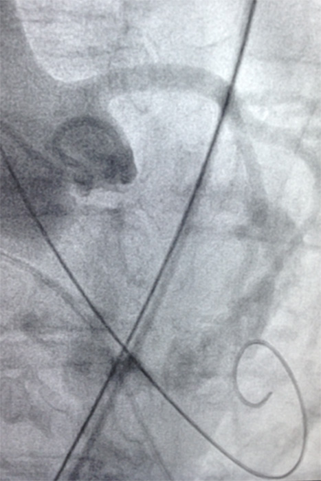
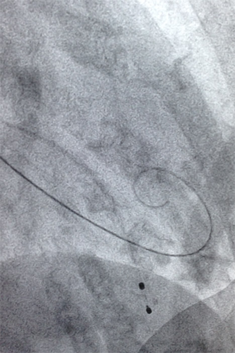
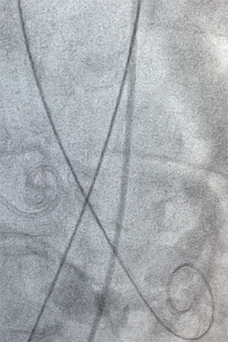
Symedrix has developed the INNOWI® and INNOWI SX® pre-shaped guide wires specifically to improve TAVI procedures.

Compatibility

While the INNOWI is designed to work best with balloon-expandable valves, the INNOWI SX is designed for self-expandable valves.

3-Zone-Technology

The INNOWI® wires have three independent zones of stiffness providing optimal support. The ultra-stiff proximal portion of the wires facilitates easy advancing of the introducer sheath and superior pushability and maneuverability. INNOWI‘s extra-stiff, respectively INNOWI SX‘s superstiff distal portion adapts perfectly to the anatomy in the aortic arch and provides sufficient guidance and support for the valve introducer system. The Pig-Tail-Tip allows atraumatic positioning in the ventricle, thereby protecting the heart muscle during the implantation of the valve.

Core Wire

The stiff core wire provides excellent guidance for all TAVI devices. It is engineered to enhance torque transmission and support precise positioning.

Support

A PTFE-coated, stainless steel wire is the key to providing maximum support and low surface friction during complex procedures.

Safety

The smooth transition from the stiff wire to the flexible tip facilitates atraumatic vessel navigation.

Ordering Information
REF Number Diameter Length Tip Curve Diameter
TA-035-270-20 0.035 inch 270cm 20 mm
TA-035-270-35 0.035 inch 270cm 35 mm
TSX-035-270-25 0.035 inch 270cm 25 mm
TSX-035-270-35 0.035 inch 270cm 35 mm

Download product brochure