AAA Products

AAA Wire WiTRAC®

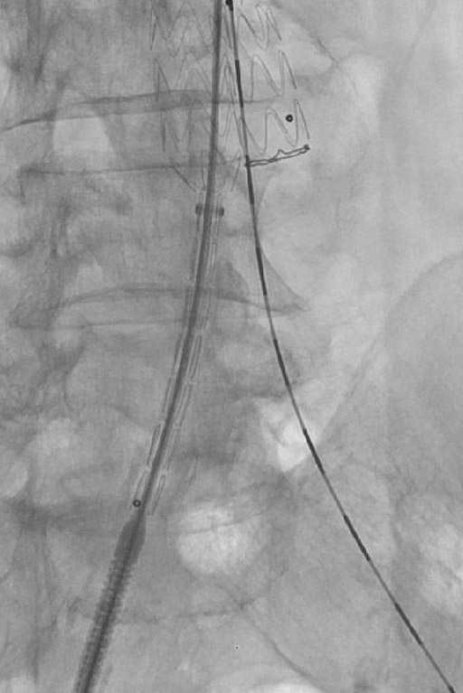
Symedrix has developed the WiTRAC® pre-shaped and scaled guide wire specifically designed to improve AAA procedures.

3-Zone-Technology

The AAA wire has three independent zones of stiffness providing optimal support. The ultra-stiff proximal portion of the wire facilitates easy advancing of introducer sheath. The super-stiff distal portion adapts perfectly to the anatomy in the abdominal aortic area and provides sufficient guidance and support for the AAA introducer system. The scaling provides additional support during endovascular procedures. The Tip allows atraumatic positioning in Aorta, thereby protecting the Vessels during the implantation of the stent grafts.

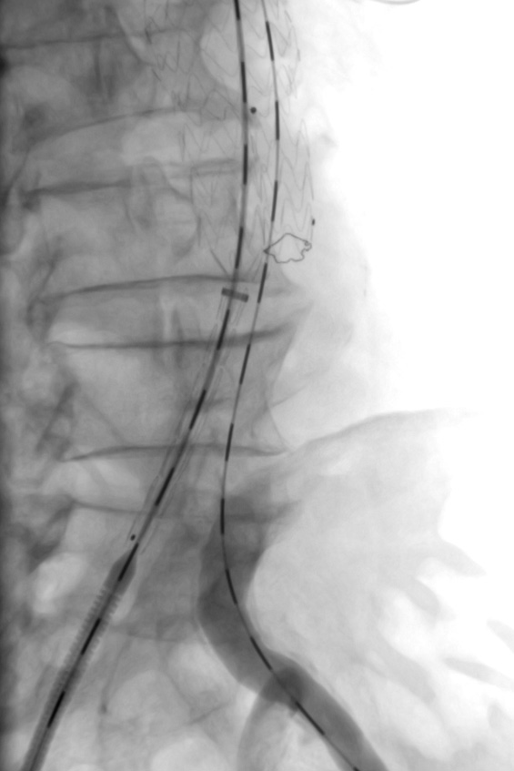
Core Wire

The stiff core wire provides excellent guidance for all AAA devices. It is engineered to enhance torque transmission and support precise positioning.

Support

A PTFE-coated, stainless steel wire is the key to providing maximum support and low surface friction during complex procedures.

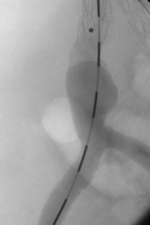
Safety

The smooth transition from the stiff wire to the flexible tip facilitates atraumatic vessel navigation.

Compatibility

The WiTRAC® AAA guide wire is compatible with a wide variety of anatomies and AAA devices.

Ordering Information
REF Number Diameter Scaling Length Tip Curve Diameter
AA-035-260-30A * 0.035 inch 30 cm 260cm 20 mm J-Tip
AA-035-260-20 0.035 inch 20 cm 260cm 20 mm J-Tip

* AA-035-260-30A: AAA, Scaling 30cm, Placement Aortic Arch